#3D飄眉#~
採用醫療級色乳(不含任何重金屬),不會變藍,3~5年身體可自然代謝!
操作過程保證不痛,全程機器10分鐘操作完程~非常快速~(全程使用醫療級拋棄式針、安全、衛生有保障
操作過程保證不痛,全程機器10分鐘操作完程~非常快速~(全程使用醫療級拋棄式針、安全、衛生有保障
多數的人在化妝時最不會的,就是「畫眉毛」了常覺得一邊高一邊低或是二邊型不對稱
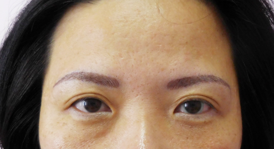
下圖是剛剛眉毛部份己經做了清潔與去角質,原本的眉毛真的是不到幾根= ="
所以才決定一定要"飄眉",還好老公也很支持我~因為真的困擾我很久了~


特寫分享一下(膽小勿看)

拍照更不用說啦~眉毛都曝光了!

確定好要的眉型後,老師會再用眉筆把要的位置加強做一下記號,當然如果你本身不會畫眉毛的話,就和老師先溝通一下,討論最適合的眉型唷!眉型當天討論了30分鐘,我想要比較挑眉的感覺(個人覺得會比較有精神,現在流行的韓式平眉,完全不能接受,比較適合年輕的阿妹仔)

飄眉師會用黑點點把剛剛畫的眉毛框起來

再接下來敷舒緩膏20分鐘就好了

飄眉的過程不會感到痛,老師說有些客人在上染料時會覺得刺刺的,不過我個人都覺得還好,沒什麼特別的感覺!
飄眉就像眉毛本身生長的狀況一樣;是不是看起來就像自己的眉毛一樣~
以後我就不用天天畫眉毛囉~


和剛剛畫的眉型是一樣的唷~完全沒變型!

<圖一~三照片是術後1.5個月後的照片>
眉型還是很自然,只是後半段,尾巴的部份稍為留色沒那麼明顯
個人留色約7~8成~但我也很滿意了~因為我臉是油性肌膚~通常留色不會那麼好~(每個人留色狀況不一定~但幾乎建議再來補色才會完美,因為脫皮完,不可能完全一模一樣,一定會在少幾根的~必竟是有傷口的~)所以我滿認同地!!!
<圖一>

<圖二>
補色針對空洞部份加強就好~

<圖三>
很明顯的比第一次拍照(無眉道人)天差地吧~第一次飄完脫痂後,拍照終於可以不用擔心曝光了

第二次補完色,成品照~~<是不是更自然了呀>

飄眉是超值的美麗投資 ~心動就趕快心動,每天讓妳多睡10分鐘~

景安捷運站出來(右轉)延著中正路直走,看到第二個中興街左轉就到啦~約7分鐘~

提供老師的名片~採預約制的唷~

歡迎有問是可以LINE先詢問唷!

店家資訊:莉莉時尚紋繡
店家地址:新北市中和區中興街117之2號
預約電話:0938-275-500
0 意見:
張貼留言